CDS - Chlorine Dioxide Solution: Chlorine dioxide gas put in water

file Blood thinners

  • Gabrielle2023
  • Gabrielle2023's Avatar Topic Author
  • Offline
  • New Member
  • New Member
More
21 Apr 2023 01:48 #78492 by Gabrielle2023
Blood thinners was created by Gabrielle2023
Hello! I am new here.

RE: healing from recent fracture surgery

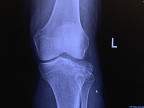
on April 14, 2023 I was in surgery for a comminuted fracture of the lateral left tibia. That’s less than a week ago.

they’ve put me on blood thinners for 12 days. The basic prognosis is no weight-bearing for eight weeks. 

my question: Is it safe to take CDS using protocol C with blood thinners?

I think it does act in a similar way but it’s not actually a blood thinner. Either way I need to know that it’s safe because I think it would be the best thing for me to do. For now I will wait until I’m done with the blood thinners and then start with CDS immediately.

I understand there is also a protocol for fractures with CDS and DMSO, But I will definitely not use that until I am off blood thinners. I know DMSO tends to have that quality.

my previous experience with CDS:

I have used CDS for months with great success. The C protocol I believe. 

at first I used it because I was in close contact with many people working in a chiropractic office as a massage therapist and people would come in after they just had Covid after they or after they had just been vaccinated or when they were between without vaccinations they didn’t really seem to care they just came in anyway.

I feel that it detoxed my lungs and my heart and I think possibly eventually my brain.

then I would take a break and take it for another few days for a month or two just as a prophylactic. 

 

Please Log in or Create an account to join the conversation.

Time to create page: 0.287 seconds
Powered by Kunena Forum